|
1. Stěsnání zubů, kazem zničená dolní šestka (extrakční léčba) 3. Předkus (neextrakční léčba) 5. Nadměrně velká dolní čelist (operační léčba) 7. Chybějící horní postranní řezák, neprořezaný dolní špičák (extrakční léčba) |
4. Otevřený skus (neextrakční léčba) |
1. Stěsnání zubů, kazem zničená nevitální dolní šestka |
2. Předkus (extrakční léčba) |
| Vytržení 4 zubů (3 premolárů a zkažené dolní šestky), přesun dolní sedmičky na místo vytržené šestky pomocí kotevního šroubu. (Pacientka má založenou osmičku, po jejím prořezání bude mít znovu plný zubní oblouk.) | Byly vytrženy 2 zuby (horní čtyřky), získané místo bylo využito pro úpravu předkusu. |
PŘED LÉČBOU / PO LÉČBĚ |
PŘED LÉČBOU / PO LÉČBĚ |
3. Předkus (neextrakční léčba) |
4. Otevřený skus (neextrakční léčba) |
| Pacient léčen bez extrakcí, pro úpravu předkusu bylo využito elastických tahů a příznivého růstu dolní čelisti. | Vyrovnání zubů, odstranění zlozvyku. |
PŘED LÉČBOU / PO LÉČBĚ |
PŘED LÉČBOU / PO LÉČBĚ |
5. Nadměrně velká dolní čelist (operační léčba) |
6. Příliš malá dolní čelist (operační léčba) |
| Kombinovaná ortodonticko-chirurgická léčba. Operace na obou čelistech. | Kombinovaná ortodonticko-chirurgická léčba. Operace na dolní čelisti. |
PŘED LÉČBOU / PO LÉČBĚ |
PŘED LÉČBOU / PO LÉČBĚ |
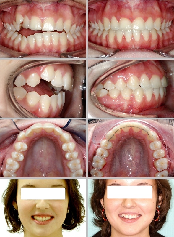
7. Chybějící horní postranní řezák, neprořezaný dolní špičák (extrakční léčba) |
8. Hluboký skus (neextrakční léčba) |
| Byl vytržen čípkovitý horní řezák, horní špičáky posunuty na místo dvojek a proveden recontouring (úprava na tvar dvojek). V dolní čelisti byl extrahován retinovaný (neprořezaný) levý špičák a z důvodu symetrie i pravý špičák. | Vyrovnání zubů, zvýšení skusu. |
PŘED LÉČBOU / PO LÉČBĚ |
PŘED LÉČBOU / PO LÉČBĚ |







